Trafiła do mnie chora z fatalnym stanem stopy, z dużymi obciążeniami innymi chorobami.
Po zapoznaniu się z przypadkiem chorej, wiedziałem, że to wyjątkowo trudny przypadek.
Pacjentka nie mogła stanąć na chorej kończynie, ponieważ przy obciążeniu noga wykrzywiała się do
boku nie dając możliwości podparcia.
Była konsultowana w wielu ośrodkach, jednak nikt nie chciał się podjąć operacji.
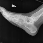
Po analizie stwierdziłem kompletną destrukcję kości skokowej po złamaniu nie rozpoznanym
pierwotnie.
Dodatkowe schorzenia, wymagające pilnego leczenia, spowodowały odroczenie leczenia stopy.
Dotarła do mnie w takim stanie jak na pierwszych zdjęciach.
Decyzja trudna, efekt leczenia trudny do przewidzenia.
Ostatecznie – „Wóz albo przewóz”.
Podjąłem się operacji.
Po otworzeniu stawu skokowego stwierdziłem praktycznie brak kości skokowej.
Uległa ona rozkawałkowaniu i zanikowi. Nie miałem możliwości jej odtworzenia.
Postanowiłem zespolić kość piętową bezpośrednio z piszczelą. Ustabilizowałem całość na gwóźdź
śródszpikowy, odpiętowy. Pozwoliło to stworzyć możliwość stabilnego podparcia kończyny.
Niestety w leczeniu pooperacyjnym doszło do komplikacji – dodatkowego złamania piszczeli. Wymagało
to ponownej operacji i zastosowania dłuższego implantu stabilizującego złamanie.
Efekt ostateczny jest bardzo dobry.
Chora może stanąć pełnym ciężarem na operowaną stopę bez bólu.
Staw jest ustawiony osiowo. Jest skrócenie kończyny, ale tego nie mogłem uniknąć.
Chora wróciła do życia.
Jestem bardzo zadowolony z efektów ostatecznego leczenia, chora również.

przed operacją chora stopa

przed operacją

przed operacją

przed operacją

przed operacją

po operacji

po operacji

po operacji

po operacji

po operacji

po operacji